青岛新闻网7月10日讯 (记者 张萍 通讯员 谢小真)久咳不愈、咯痰一天四五十次、稍动即喘……长期以来,这些症状困扰着77岁的市民徐大爷(化名),让他的正常生活难以为继。老人曾先后辗转多家医院,却苦于找不到真正的病因。
2017年冬开始,徐大爷开始频繁地咳嗽、咳痰,每天都咳大量白色泡沫痰,次数多达四五十次,剧烈咳嗽后伴随而来的是严重喘憋。他夜间时常被憋醒,伴有阵发性呼吸困难。发病后,老人活动耐力极差,稍动即喘。老人先后跑了多家医院,被确诊“慢性阻塞性肺病、支气管扩张并感染。”经积极治疗,病情有所缓解。
近半年来,徐大爷病情反复,症状无明显改善,并进行性加重。6月12日,老人被送入市立医院西院区呼吸内科进一步治疗。


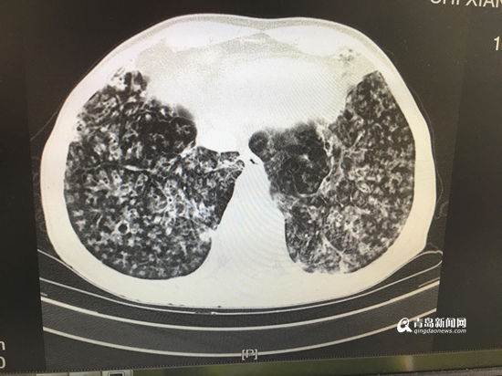
胸部CT显示病灶弥漫。
根据患者病情、影像学检查结果,经集团本部肺部感染诊疗中心主任兼西院区呼吸内科学科负责人、首席专家刘学东主任与西院区呼吸内科兰淑娟主任及专家团队共同研究、探讨,老人被确诊为“弥漫性泛细支气管炎”(简称“DPB”)。呼吸内科兰淑娟主任说:“DPB通常在40岁左右起病,初期有慢性咳嗽和脓痰,后期则表现为活动后呼吸困难且呈进行性加重。临床诊断标准包括必须项目项及参考项目。”必须项目三项,分别是:持续咳嗽、咳痰及劳力性呼吸困难;目前或过去有鼻窦炎;胸部X线示两肺弥漫性散在分布的颗粒样结节状阴影或胸部CT示两肺弥漫性小叶中心性颗粒样结节状阴影。参考项目三项,分别是:肺部可闻及啰音;FEV1/FVC<70%,PO2<80mmhg;冷凝集>=1:64。
兰淑娟主任表示:“该患者除症状符合描述,还曾因慢性鼻窦炎看过多年病。患者具有典型的影像学表现,符合DPB临床诊断标准。”
据了解,DPB确切病因尚不明了。1995年-2003年,国内报道的DPB病例数仅为40例。弥漫性泛细支气管炎临床特征缺乏特异性,常被误诊为慢性阻塞性肺疾病、支气管扩张、支气管哮喘等其他肺部疾病,误诊率极高,严重影响患者的预后。经治医师王光艳称:“因为患者已有支气管扩张并感染,所以院外曾给予他抗感染、解痉平喘、化痰等治疗方案是对的,但只能算是治疗的一部分。弥漫性泛细支气管炎的治疗是‘抗炎’而非‘抗菌(抗感染)’为主的治疗方案。口服长期低剂量大环内酯类药物可有效改善患者的预后,在诊断后立即使用并持续至少6个月是合理的。”
治疗近一个月,患者病情明显改善,咳嗽、咳痰明显减轻,憋喘缓解。“以前连上厕所自己都不能完成,现在下地活动没有问题。”徐大爷高兴地说,“跑了好几家医院,都没治利索,我快要灰心了,邻居告诉我,现在老铁路医院来了市立医院的专家,让我来试一试,没想到,还真找着病根儿了!真希望医院越来越好,我们住在医院附近,心里踏实!”


