
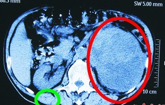
患者王先生的肾脏(图中绿圈处)和巨大肾肿瘤(图中红圈处)。

下午1时许,成功摘除肾肿瘤。
幕后:
想啥手术都做至少要练15年
这次手术对于主刀医师刘春雷和他的同事来说是非常重要的,因为手术的难度非常大,之前他们开了好几次碰头会讨论,有了九成以上的把握才决定做这个手术。但这也仅仅是这个科室每月五六十台手术中的一台,“明天还有一台更复杂的手术,整个
“其实这个手术难度虽高,但毕竟单纯,要是静脉里再有瘤栓,清除起来就更麻烦,我曾经做过一台12小时的手术。”刘春雷说,这种情况很正常,他们泌尿外科一天四五台也是常有的事情。
刘春雷说,手术有大有小,行业内的外科大夫也是分级别,外科手术可以分为甲、乙、丙、丁四级,副主任医师以上的医生才可以四级手术都能做,“但副主任医师以上的没必要做简单的手术,就在做这些简单手术的时候在旁边传帮带;而一般的医生也不能越级进行手术 ”。他说,一名医生要想所有手术都能做,需要至少15年时间才可以练出来,并且还要不断学习掌握新的知识。
“一开始,新晋医生都有一个适应期,心理承受能力等各方面都要承受考验。”他介绍,有医生因为在手术中没有做到满意而有了心理阴影,他就要带领这样的医生从简单的手术重新做起,直到帮其树立起信心来。
小花絮
无影灯
一提起手术室,大家最先想到的恐怕是无影灯了。记得中学课本上介绍无影灯是把发光强度很大的灯在灯盘上排列成圆形,合成一个大面积光源,手术时没有阴影投在手术创口上,医生看得更清楚。但在这个手术室的两盏无影灯却很“另类”,仅有一个灯泡向中间聚光,四周材料用以反射光,中间还有一个把手可以调整灯的高低和照射角度,很方便。
护士帽
在手术室内,记者一看旁边的护士就乐了:“你们的帽子上咋都是小猫、小狗之类的卡通图案啊?”“你真是太OUT啦!没看美剧吗?《实习医生格蕾》里面戴的就是这种帽子,我们都戴好久了。”一名“美小护”对记者说,这些漂亮的帽子也都是一次性的。